歯周病治療
歯周病は、歯垢の中の細菌が歯茎に炎症を起こさせ、歯根膜や歯を支える歯槽骨などの歯周組織を破壊する感染症です。
歯周組織が破壊されると、しっかりと歯を支えられなくなり、歯が動揺していき最終的には抜け落ちてしまいます。
歯周病は進行の段階があり炎症が歯肉に限局した「歯肉炎」と歯槽骨、歯根膜といった歯周組織にまで炎症が波及した「歯周炎」の2つに大別されます。
『歯周病治療』こそが
歯の寿命を延ばす原点
歯周病は虫歯と違って『痛い、しみる』などの自覚症状が乏しいため歯周病が進行していることに気付きにくく、 歯のグラつきなどでお口の異変に気づいた時には、すでに重症化していることが多いため、歯を失う1番の原因となっています。
歯周病は、進行すればするほど治療が難しくなり、完治するまでに時間を要します。
最悪の場合、歯を抜かなければならないこともあるため要注意です。
以下のような自覚症状が現れたときには、すでに歯周病がかなり進行している可能性があります。
歯周病の代表的な症状に一つでも当てはまる場合はお早めにご来院ください
歯周病の代表的な症状
CASE01 歯茎からの出血
歯周病に罹患すると、歯磨きをしたとき、また何もしていなくても歯茎から血が出ることがあります。
歯茎には多数の毛細血管が通っているため、そこに炎症が起きると、ブラッシングや食事などの刺激で出血しやすくなります。
CASE02 歯茎からの膿
歯周病菌の活性度が高まり、歯周病が「中度」「重度」まで進行すると歯茎から膿が出るようになります。
歯周病に感染すると、私たちの体のなかの免疫細胞(白血球)が細菌(歯周病菌)と戦います。この戦いにより、白血球や歯周病菌の死骸が膿となって排出されます。
つまり、膿が出るということは、現在進行形で白血球と歯周病菌との戦いが繰り広げられているということで、今まさに組織破壊が進行している証なのです。
CASE03 口臭がある
歯周病が進行すると血生臭い強烈なニオイがしてきます。
話している相手が不快になるほどのニオイを発するので要注意です。
悪臭の原因の一つが「膿」です。歯周組織の炎症が波及し歯根膜が破壊されて膿が生成されます。
この膿がきついニオイの原因となるのです。
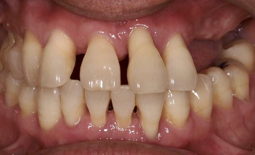
CASE04 歯がグラグラする
歯周病がかなり進行し歯を支える歯槽骨や歯根膜などの歯周組織が破壊されると歯がグラグラ揺れてきます。
定期的に歯石取りで通っているのに
歯周病が進行した・再発した
なぜ?
それは歯周病の原因が除去できていないからです。
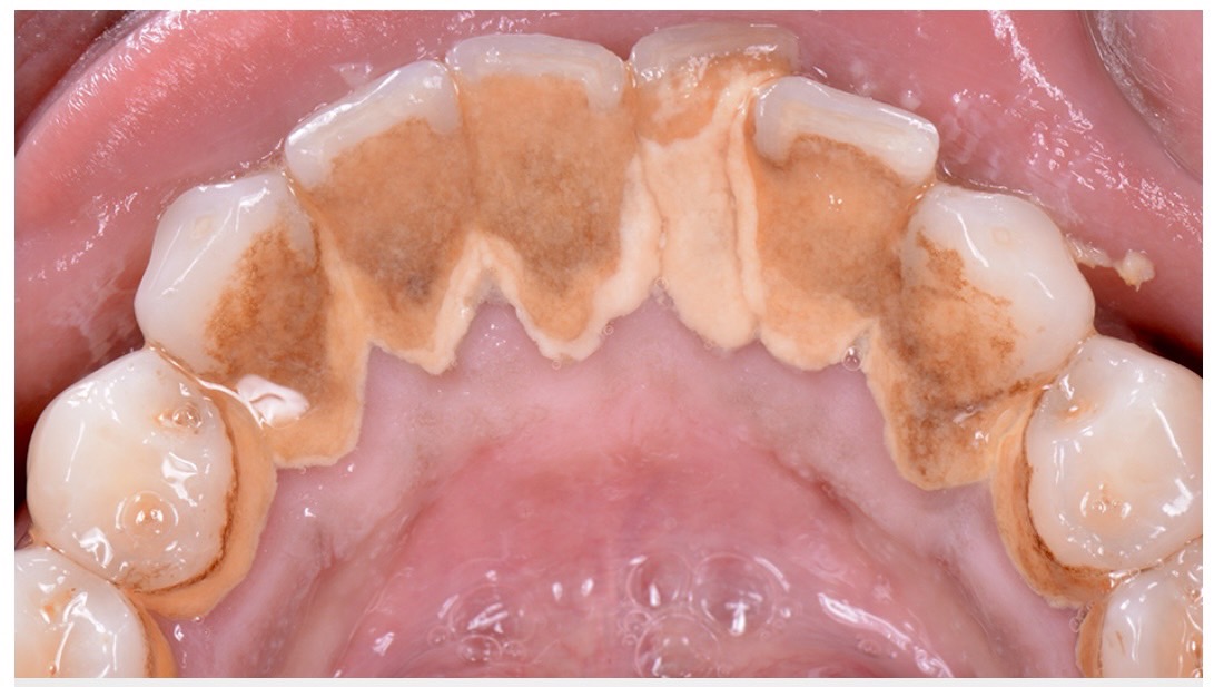
歯周病の原因は歯石ではなく、バイオフィルムという『細菌の塊』です。
歯や歯根面には様々な細菌が集合し『バイオフィルム』と呼ばれる『膜のようなバリア』を張っています。
マウスウォッシュなどの液体で殺菌しようとしても完全には死滅しないので大きな効果は期待できません。
歯科衛生士による特殊な機器を用いたプロフェッショナルケアで 機械的にバイオフィルムを破壊し、細菌を除去することが効果的な治療法です。
スケーリングによる〝バイオフィルム除去”の必要性
歯石は唾液の作用によりプラークが石灰化して固くなったものです。
いわゆる死んだ細菌の塊なのでそれ自体に毒性は無いため、歯周病の直接の原因になるわけではありません。
しかし歯石の表面はザラザラしているためプラークやバイオフィルムなどの細菌が付着しやすくなるため、歯周病の進行を抑えるためには、初期治療での“歯石取り”も必要なのです。
歯周病検査の種類
パノラマレントゲン写真
レントゲンにより歯を支える歯槽骨がどの程度破壊されているか確認が出来、その歯が保存可能かの診断材料にもなります。
歯周ポケット検査
歯周ポケットの測定により、歯周病の進行度合いや出血の有無による歯肉の炎症具合を判断できます。
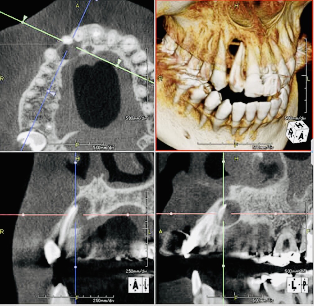
歯科用CTによる「精密診断」
場合により歯科用CTで歯槽骨の状態を正確に把握し、歯周再生療法が適応かどうかなど判断していきます。
当院では世界で新しく発表される有効な論文を日々取り入れ、科学的根拠に基づいた先進の歯周病治療「スカンジナビアン・ペリオ」を導入しています。
スカンジナビアン・ペリオについて
歯周病治療「スカンジナビアン・ペリオ」とは?
歯科医療先進国として有名なスウェーデンで推奨されている「科学的に効果が実証された最新の歯周病治療」のことです。
この治療は、徹底したプラークコントロールなどの歯周基本治療で病原菌を減らし必要に応じて外科処置や抗菌薬を使用して感染源を除去し、その後のSupportive Periodontal Therapyを主体とした口腔ケアで歯を残していく方法です。
ヨーロッパ歯周病学会でもこの方法が『歯の寿命を延ばすために非常に有効』であることが認められています。
当院ではこのスカンジナビアンペリオをベースとした患者さん一人ひとりに合わせた効果的な治療を提供しています。
従来の歯周病治療と「スカンジナビアン・ペリオ」の違いとは?
従来の歯周病治療では直接の原因にアプローチできてなかったり、歯周組織のセメント質を傷つけてしまうなど効果がない訳ではありませんが、「歯石取り」に比重が置かれているため、原因を解決できていないことも多く、もう少し長く残せた歯や本来ならば救えた歯を抜くことも少なくはありません。
つまり、歯周病治療はどこの医院で受けても同じ、という訳ではないということです。
当院では今だけではなく、将来にわたって歯周病の発症や進行を抑えるために予防とメインテナンスを重視し健康な歯を長く保つことを目指しています。
マイクロバイアルシフトとは?
口腔内の環境によってバイオフィルム(細菌の集合体)が病原性を高めることを『マイクロバイアルシフト』といいます。
以前は特定の細菌により歯周病が発症すると言われており、位相差顕微鏡やPCR検査で原因菌を特定し抗生剤で除菌したり歯石除去をすれば歯周病は治ると考えられていました。
しかし最近の研究により、特定の細菌だけが歯周病の発症に関与するのではなく『バイオフィルムの悪性度の変化』が歯周病を発症させることがわかってきました。
つまり『病原性が無い安定したバイオフィルム』から『安定性が失われ病原性が高まったバイオフィルム』へと変化する事で、歯周組織と細菌のバランスが崩れ、歯周病が発症するという考え方に変わったのです。
口腔内には歯周病原菌が何種類もいますが、その中でも極めて悪性度が高いと言われている3種類が「レッドコンプレックス」と呼ばれる「悪性歯周病菌」です。
バイオフィルムの中にレッドコンプレックスがいるとマイクロバイアルシフトが起こりやすくなります。
歯周病の発症を防ぐにはマイクロバイアルシフトが起こらないようにすること、すなわち歯周病原菌が増殖しにくい状態にすることが大切です。
はぐきからの出血は大丈夫?
歯周病菌にとって赤血球ヘモグロビンの『ヘミン鉄』が必須栄養素です。
はぐきからの出血により血液中の鉄分とタンパク質を摂取し歯周病菌は増殖していきます。
ですので、出血を抑え細菌に供給される栄養を絶つことがとても大切です。
当院の歯周病治療では、歯周ポケット内のバイオフィルムを破壊し歯周病原菌を徹底的に除去していきます。 細菌量が減少すれば、ポケット内の炎症がひいて出血が止まり歯周組織は回復してきます。
当院の歯周基本治療
当院では、まず保険の範囲で治療計画を立て、最善の治療方法をご提案いたします。
専用の機器を用いてスケーリングやデブライドメントを行い歯や歯根面から歯周病の原因となる「バイオフィルム」を除去していきます。
なるべく歯茎を切らない治療へ
なるべく外科治療を行わず、徹底的に『歯周基本治療』を施し、自己の持つ自然治癒能力を最大限に引き出せた結果、歯肉の炎症が治り骨の再生を促すことが、当院が考える治療の1つです。
実は怖い! ![]() |
歯周病はお口の中だけの問題ではありません! ![]() |
歯周病が“心臓病”や"脳梗塞"引きおこすメカニズム ![]() |
歯周病菌による慢性的な炎症が心臓病や脳梗塞を引き起こす危険性が発表されています。
歯周病菌がなぜ心臓に影響を与えるのでしょうか。
血液によって運ばれた細菌が心臓の内膜に感染して、炎症を起こすことがあり、これを「感染性心内膜炎」と呼びます。
また歯周病菌は心臓の冠動脈に炎症を起こし、アテローム性動脈硬化を誘発します。
最終的には血栓症が心筋梗塞や脳梗塞の原因となるのです。


