小児歯科

    佐賀市の歯医者、池田歯科こども歯科の小児歯科

    子どもの歯医者選びに失敗したくないからこそ、しっかり選んでほしい

    佐賀市の歯医者、池田歯科こども歯科の小児歯科

    佐賀市鍋島の歯医者、池田歯科こども歯科の「小児歯科」は、お子さまの顎・口腔を「健康に育てる」がコンセプト。
    虫歯予防だけではなく、口呼吸などの悪習癖を改善し、まずは正常な「顎の育成」とキレイな「永久歯列の完成」をゴールにしています。

    さらには「自分の歯を大切にする」習慣を持ち合わせた大人に成長するようにしっかりとサポートしていきます。

     

    佐賀市の歯医者、池田歯科こども歯科の小児歯科

    子どもの歯の症状

    当院は、親御さんの悩みに寄り添った、総合解決型歯科医院です。

    佐賀市の歯医者、池田歯科こども歯科の小児歯科
    1
    佐賀市の歯医者、池田歯科こども歯科でむし歯治療歯茎が腫れた、膿んでいる
    2
    佐賀市の歯医者、池田歯科こども歯科でむし歯治療乳歯がむし歯
    3
    佐賀市の歯医者、池田歯科こども歯科でむし歯治療むし歯予防(シーラント、フッ素、進行止め)
    4
    佐賀市の歯医者、池田歯科こども歯科でむし歯治療乳歯の後ろに永久歯が生えてきた
    5
    佐賀市の歯医者、池田歯科こども歯科でむし歯治療効果的な仕上げ磨きの説明
    6
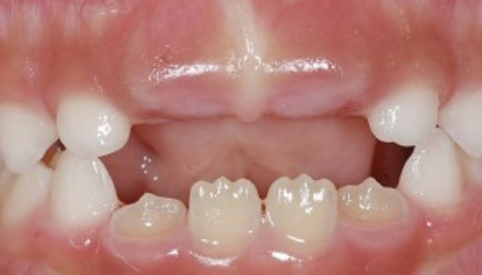
    佐賀市の歯医者、池田歯科こども歯科でむし歯治療永久歯が生えてこない
    7
    佐賀市の歯医者、池田歯科こども歯科でむし歯治療乳歯が抜けない
    8
    佐賀市の歯医者、池田歯科こども歯科でむし歯治療乳歯がグラグラ、抜くタイミングは?
    9
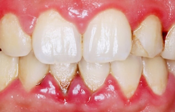
    佐賀市の歯医者、池田歯科こども歯科でむし歯治療歯肉炎、歯茎が腫れている
    10
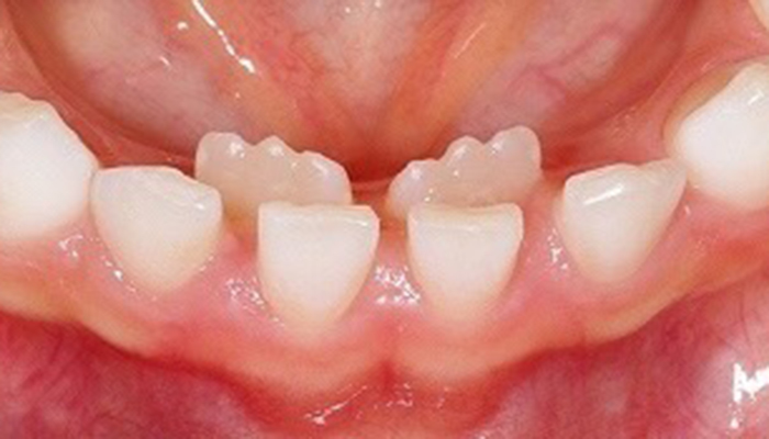
    佐賀市の歯医者、池田歯科こども歯科でむし歯治療歯並び、噛み合わせのチェック
    11
    佐賀市の歯医者、池田歯科こども歯科でむし歯治療歯をぶつけた、歯が欠けた
    12
    佐賀市の歯医者、池田歯科こども歯科でむし歯治療口呼吸の改善
    13
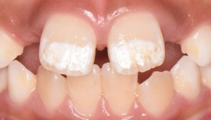
    佐賀市の歯医者、池田歯科こども歯科でむし歯治療白い濁り(エナメル質形成不全・初期むし歯)
    14
    佐賀市の歯医者、池田歯科こども歯科でむし歯治療歯が変色してきた
    15
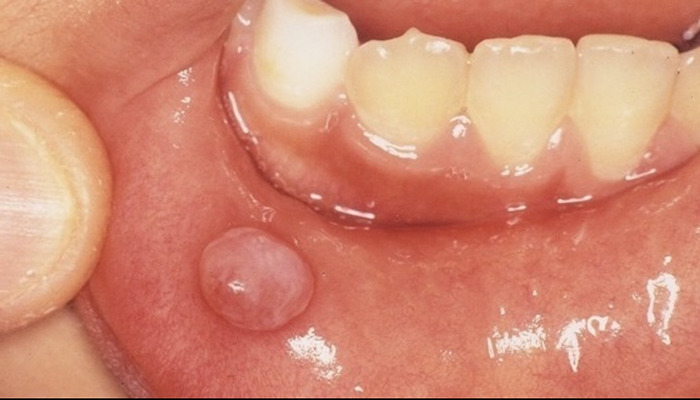
    佐賀市の歯医者、池田歯科こども歯科でむし歯治療唇の粘膜がぷくっと膨らんでいる(粘液嚢胞)
    16
    佐賀市の歯医者、池田歯科こども歯科でむし歯治療子どもの口臭
    17
    佐賀市の歯医者、池田歯科こども歯科でむし歯治療将来すきっ歯になる?上唇小帯切除術
    18
    佐賀市の歯医者、池田歯科こども歯科でむし歯治療活舌が悪い?舌小帯切除術
    19
    佐賀市の歯医者、池田歯科こども歯科でむし歯治療子どもの歯ぎしり
    20
    佐賀市の歯医者、池田歯科こども歯科でむし歯治療スポーツマウスガード

     

    当院のお子さんの治療の目標

    佐賀市の歯医者、池田歯科こども歯科でむし歯治療
    • なるべく痛くないよう
    • しっかり説明してから治療へ
    • トラウマにならないように慣れてから
    • 初期むし歯は削らずに再石灰化へ

     

    当院が選ばれている理由

    佐賀市の歯医者、池田歯科こども歯科でむし歯治療

    お子さんに寄り添った、優しい治療

    治療前にしっかりお話をお伺いし、わかりやすい説明と治療回数を少なくなるように心がけています。

     

    佐賀市の歯医者、池田歯科こども歯科でむし歯治療

    お子さんが泣かないよう、痛みに「最大限」配慮

    麻酔薬を体温と同じぐらいに温めて、超極細針によりゆっくり注射することで、痛みを感じにくくしています。

     

    佐賀市の歯医者、池田歯科こども歯科でむし歯治療

    むし歯だけでなく歯肉炎予防も

    小学生の4割が歯肉炎。歯周病菌は少しずつ定着していきます。
    大人になって歯周病で悩まないよう、今のうちからケアを。

    佐賀市の歯医者、池田歯科こども歯科の小児歯科

     

    佐賀市の歯医者、池田歯科こども歯科でむし歯治療

    お子さんの成長に合わせた歯並び治療

    キレイな歯並びは、お子さまへの最高のプレゼントです。
    矯正を始めるタイミングは?

     

    佐賀市の歯医者、池田歯科こども歯科でむし歯治療

    通いやすい歯医者さん

    佐賀市、神崎市、小城市、吉野ヶ里町、大川市からお車で20分と通いやすい医院です。駐車場多数。

     

    佐賀市の歯医者、池田歯科こども歯科でむし歯治療

    自閉症・発達障害を理解する鍵

    【氷山モデル】
    目に見える行動に対応するのではなく、外から見えにくい「自閉症などの特性」を理解し、「なぜその行動が起きるのか」という視点を持って対応する

     

    泣いてしまうお子さまも、安心してご来院ください。

    当院では、歯医者さんが苦手・怖いというお子さまのために、「TSD法」というテクニックを用いて治療前のトレーニングを行います。
    決してトラウマにならないよう、無理に押さえつけず、まずは歯医者さんになれてもらいます。

    佐賀市の歯医者、池田歯科こども歯科でむし歯治療Tell(教える) 佐賀市の歯医者、池田歯科こども歯科でむし歯治療Show(見せる) 佐賀市の歯医者、池田歯科こども歯科でむし歯治療Do(やってみる)

     

    お子さまの治療の流れ

    佐賀市の歯医者、池田歯科こども歯科でむし歯治療名前を呼ばれました 佐賀市の歯医者、池田歯科こども歯科でむし歯治療一緒に行こうね 佐賀市の歯医者、池田歯科こども歯科でむし歯治療お口を開けてね
    佐賀市の歯医者、池田歯科こども歯科でむし歯治療上手にうがいできるかな 佐賀市の歯医者、池田歯科こども歯科でむし歯治療よく頑張ったね!

     

PAGE TOP