虫歯(一般歯科)
- 必要以上に削りすぎて歯の強度を下げないこと。
- 虫歯を取り残して再発させないこと。
- ぴったりとした詰め物を強固に接着して取れないようにすること
- 歯を削る量が銀歯よりも圧倒的に少ない
- 金属アレルギーが起きない
- 白いので見た目がよい
- 治療が一回で終わる
- 経年劣化して着色が着くことがある
- 強い力が加わると欠けることがある
虫歯治療や詰め物が取れた、歯がしみるなどの症状は、当院の得意分野です。
歯医者に行かなきゃと分かっていても、怖くてつい先延ばしにしてしまう…。
気持ちはよく分かります。
しかし、進行した虫歯は自然には絶対治りません。
放置していると、せっかく残せたはずの大切な歯が失われてしまいます。 下記のような症状のある方は、今すぐ歯科医院を受診しましょう
むし歯を放置している方
昔治療した歯が痛む方
放置しすぎて痛みすら感じなくなった方
たかが虫歯と侮ってると腎疾患や心疾患などの原因にも。
虫歯を放置していると歯の神経が腐り歯根に膿が溜まります。
歯に痛みが出ていなくても最悪の結果、全身に症状を引き起こすことがあります。
歯がしみる、ズキッと痛かったなど『もしかしたら虫歯かな?』と感じたら、勇気を出して1度足を運んでみてください。
最新レーザーによる「科学的根拠に基づいた診断」
当院では患者様に安心して通って頂くために、先進機器と治療技術により『痛みの少ない治療』を実践しています。
レントゲンや視診では判断できない隠れ虫歯を高確率で発見できます。
歯に優しいレーザー光を照射するだけで虫歯の進行状態がわかります。
レーザー光は全く痛みもなく安全なので、成人の方、ご高齢の方や妊婦の方、小さなお子様など、どなたにも安心して使用できます。
昔ながらの「勘と経験」に頼るのではなく
「削る必要がある虫歯」なのか「削らず経過観察で問題ない虫歯」なのかを科学的根拠に基づいた「数値」で判断できます。
![]() |
![]() |
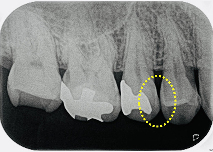
虫歯が疑われたが削らずに済んだ例
視診では歯間部が黒く透けており虫歯が疑われ治療が必要そうな状態 |
レントゲンでは虫食い状に黒く写ってはないので深く虫歯は進行してはいないと判断した |
レーザー診断にて数値が「40」だったため『初期虫歯』と判断し、削らず経過観察とした。 |
このように数値で虫歯の進行状況がわかるため、なるべく削らない治療が可能です。
当院では61以上の数値で治療が必要と判断します。
新時代の虫歯への考え方
従来の歯科治療では「早期発見、早期治療」という考え方が主流で、歯に黒い部分を見つけたら、すぐに削って銀歯を入れていました。
しかし現在では、むし歯は一方的に進むのではなく、きちんと管理すれば虫歯の進行が止められたり、「初期むし歯」であれば適切な処置により回復することが判明しました。
それを受けて当院の虫歯に対する基本対応として
「初期虫歯は進行させない・削らずに回復させる」
ことを理念としております。
![]() |
![]() |
当院での虫歯治療へのこだわり
長持ちする治療
「治療後に歯が痛くなった」そんな経験はありませんか?
実は虫歯治療には3つの注意点があります。
それは、
これらが、歯の寿命を延ばす上でとても大切です。
治療ではまず、しっかりと虫歯を取り除かないと将来的に虫歯が再発してしまいます。
逆に健康な部分まで削りすぎると歯が脆くなったり、治療後に痛みが出やすくなってしまいます。
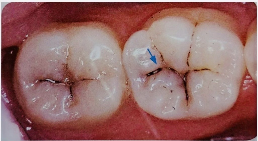
そのため当院では、虫歯を赤く染め出す「う蝕検知液」を用いて感染部分だけを取り除き、健康な部分を削らないように治療させていただいております。
虫歯が完全に除去できたのかどうかの判断を視診だけでするのではなく、化学的染色を用いて、虫歯の取り残しを防ぎ、健全歯質の確保します。
![]() |
![]() |
なるべく削らない治療に力を入れています
5倍速コントラでの的確な切削
一般的に使われる歯の切削機器よりも高速に回転する5倍速コントラを導入しております。
高速回転により、治療中の不快な振動を抑えることができます。
そのため、従来の切削機器よりもブレが少なく健康な部分を削らず正確に虫歯を除去することが可能となります。
エキスカベータによる最小限の切削
歯の神経付近の虫歯除去には、神経を傷つけないよう、繊細な処置が必要です。
そのためエキスカベータというスプーン状の器具を用いて神経になるべくダメージを与えないようにしています。
虫歯に感染した部分は軟化しているため、手動の機器で慎重に除去していくため最小限の切削が可能です。
![]() |
![]() |
CRによるなるべく削らない治療
銀歯ではなくできる限り白い詰め物で治します。
噛む面の虫歯や小さな範囲の虫歯、前歯の虫歯であれば、当院では、保険の範囲内での『白い詰め物』で治させていただいております。
CR治療のメリット
CR治療のデメリット
精密治療へのこだわり
人間の裸眼が認識できるのは『0.2mm』が限界です。
当院では治療内容により拡大ルーペを用いて精密に治療させていただいております。
保険治療にも『高水準の材料』を採用
虫歯を削った穴には、『適合がよく』長期にわたって『安定』した材料を詰めることが大切です。
当院では保険治療にも高水準の材料を取り入れ、虫歯が再発しづらい『長持ちする治療』を実現させております
当院で採用しているコンポジットレジン
接着で評価の高い3M社の高級コンポジットレジン『フィルテックシュープリームultra』を採用しております。
通常のコンポジットレジンだと、レジンが摩耗すると大きな凹凸が出来、プラークが付着しやすくなり、光沢が失われてしまいます。
当院のレジンはすべてのフィラー粒子がナノサイズなので、レジンの摩耗によりフィラーが抜け落ちても、大きな凹凸が出来ないので、光沢が持続し、プラークも付着しにくく虫歯のリスクが他社よりも軽減します。
![]() |
![]() |
ボンディング材に
『スコッチボンドユニバーサルアドヒーシブ』を採用
コンポジットレジンを歯に接着する材料にもこだわり、象牙質、エナメル質に安定した高い接着力をもつスコッチボンドを使用しております。
銀歯やセラミックの接着には
唾液に溶解しない『レジンセメント』を採用
従来のセメントでは唾液により少しずつ溶けて銀歯などの詰め物に隙間ができ虫歯が再発しやすくなってしまいます。
当院では最新の接着セメント『SAルーティングセメント』『ユニセム2』を使用しているため、『唾液溶解度ゼロ』の歯面に強力に密着しやすい材料を生かした『長持ちする治療』を心がけております。
保険の被せ物『CAD CAM冠』との相性は良好で、化学的に分子レベルで接着するので、冠と歯を一体化させることができます。
患者様が通いたいと思える歯科医院を作るべく、治療するなら、なるべく長持ちする治療を患者様は求めていると考えました。
当院では保険治療でも、高水準の材料を使用しているため『長持ちする治療』を実現させています。
![]() |
![]() |
治療では一人ひとり麻酔薬を使い分けています
過去に麻酔で気分が悪くなった
心臓がドキドキしてきて苦しくなった
手が震えてきた
などの苦い経験はありませんか?
麻酔は治療中に痛みを感じなくさせるものですが、歯医者に慣れていなかったり不安や緊張が強い状態のときに麻酔をすると、気分が悪くなることがあります。
これは血管迷走神経反射といって、麻酔をしたときの刺激で血圧が下がってしまい、立ち眩みのような症状が起こっているのです。
また心臓がドキドキするのは、麻酔薬にアドレナリンといって血管を収縮させる成分が入っているため、どなたでも起こりえます。
当院では2種類の麻酔薬を使いわけて安全に配慮して治療を行っています。
歯科恐怖症の方や過去に気分が悪くなったり、動悸が強くなった方、高血圧や心疾患をお持ちの方、糖尿病や妊娠中期の方には通常の麻酔ではなく『スキャンドネスト』という麻酔薬を使用しております。
スキャンドネストには血管収縮剤や防腐剤を含まないため、局所麻酔薬の成分に対してアレルギー反応が起こりづらく、血管への負担も少ないことが特長のとても有効な薬剤です。
また麻酔の持続効果が通常の半分程なので、麻酔がきれてくるのが早く、治療後は快適に過ごせます。
リラックスできる雰囲気作り
当院では治療前にしっかりお話しを伺い、対話を通して緊張している方でもなるべくリラックスできるような雰囲気作りを心がけております。


視診では歯間部が黒く透けており虫歯が疑われ治療が必要そうな状態
レントゲンでは虫食い状に黒く写ってはないので深く虫歯は進行してはいないと判断した
レーザー診断にて数値が「40」だったため『初期虫歯』と判断し、削らず経過観察とした。








