根分岐部病変の予後
根分岐部病変の予後
佐賀市の歯医者、当院こども歯科医院です。
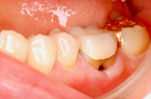
大臼歯の歯根は複数あり歯根が分岐しているところが歯周病にかかることがあります。

根分岐部病変と言い、この病気はなかなか完治が難しく再発することもあります。
根分岐部病変を伴った複根歯は多くの古典的な論文で長期的な予後が悪く、歯の喪失の要因となると言われています。

また、歯周病に罹患した歯の予後予測と長期的な結果についての一連の研究論文において、根分岐部病変の有無は5年後の予後判定、歯の喪失率に大きく影響を及ぼすと報告しています。

2016年に発表されたNibaliらのシステマティックレビューでは、過去の根分岐部病変を伴った歯の喪失に関する論文をまとめています。

このメタ解析では、根分岐部病変は長期的な経過において約2倍の歯の喪失のリスクがあり、進行度に応じて喪失リスクが上がると結論づけています。

佐賀市の歯医者、当院こども歯科医院では、根分岐部病変の治療を行なっています。
治療後はペリオフィールというお薬を歯根に挿入したりレーザー治療などをして、なるべく再発を防ぐようにしています。

なるだけ痛くない削らない抜かない佐賀市の歯医者さん、当院こども歯科
佐賀市 歯科 新栄 西部環状線沿い
池田歯科医院・こども歯科:https://ikeda-shikaiin.com/
〒840-0859 佐賀県佐賀市新栄西1丁目2-45
電話:0952-22-0388/0120-6789-11