本当は恐い銀歯
本当は恐い銀歯 佐賀市 歯科
佐賀市の歯医者、当院こども歯科医院です。
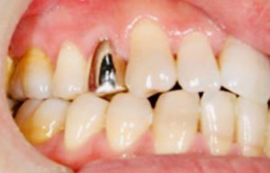
銀歯はイヤだなて思う方はいませんか?
笑った時にキランと光る『銀色』の歯。

天然の歯は白いはずなのに銀歯をいれると目立ってしまいますよね。
何よりも年寄りくさく見えてしまう。
時代の流れもありますが、銀歯を入れていると
歯に対する意識が低い人だなと思われがちです。
銀歯は保険が適用され安いので当たり前に入れている方も多くいるかと思いますが、実は様々なリスクがあります。
銀歯のデメリット
①むし歯になりやすい

サビて劣化し汚れがつきやすい
銀歯に隙間ができやすく、歯と歯の間が特にむし歯になりやすい。
イギリスやスウェーデン、ドイツなどの先進国では銀歯に含まれるパラジウムが、身体に有害なので禁止になっています。
毒性金属『パラジウム』を含んでいる銀歯を入れるという
『60年前の戦後の治療』が日本では今も保険診療で、引き継がれているのです。
日本の総理とアメリカの大統領においてもお口のケアに対する意識の違いが明白です。
アメリカの首脳で銀歯を入れている人は1人もいません。

https://ikeda-dentalcl.com/blog/1730/
②硬すぎて歯を痛める

天然歯よりも硬いので、銀歯が入っている歯が欠けたり、折れたりするだけでなく噛み合わせる反対の歯も痛めます。
また毎日の噛む力が蓄積することで顎関節症を引き起こしたり頭痛、肩凝りの原因にもなります。
https://ikeda-dentalcl.com/blog/1757/
③電磁波集積によりコヒーラ現象が発生

口腔内の金属はスマホ、パソコン、TV、電子レンジなど電磁波を引き寄せ電磁波過敏症になることも。
電磁波が集積すると金属はイオンとなり溶け出して『コヒーラ現象』を引き起こし、金属が内蔵などに蓄積し身体の不調和を招きます。
④マイクロガルバニー電流発生

お口の中の銀歯は電子を放出して微弱な電流を発生させます。
電流が発生すると電圧が上昇し交感神経が優位に働き常に身体はリラックスできず興奮状態に。

自律神経系が乱れ、頭痛、慢性疲労、関節痛、なかなか寝付けない、熟睡できないなどの症状を引き起こします。
⑤溶け出した金属が身体に蓄積『金属アレルギー』に

銀歯は少しずつイオンとなって溶け出し金属アレルギーを引き起こしたり、身体に蓄積することで頭痛や様々な症状を引き起こします。
アマルガムという金属も有害であることが分かっています。
https://ikeda-dentalcl.com/blog/2090/
⑥銀歯は歯を削る範囲が大きい
銀歯は歯と一体化しません。
歯科用セメントでくっつけるという『摩擦力』で歯にはまっているだけなのです。
ですので銀歯がとれにくいように一般的に、たくさん削ります。摩擦力を増やすためです。
健全な部分も削られるというデメリットがかなり大きい治療になります。


佐賀市の歯医者、当院こども歯科では、なるべく『保険適用のコンポジットレジン治療』を推奨しています。
むし歯になりにくい素材セラミックもありますのでご相談ください。
なるだけ痛くない削らない抜かない佐賀市の歯医者さん
当院こども歯科
佐賀市 歯科 新栄 西部環状線沿い。
池田歯科医院・こども歯科:https://ikeda-shikaiin.com/
〒840-0859 佐賀県佐賀市新栄西1丁目2-45
電話:0952-22-0388/0120-6789-11