オールセラミックの欠点、リスクとは

他の歯医者さんで、オールセラミックの良いところは紹介や説明されており、オールセラミック治療の欠点やリスクについての説明はほとんどないのが実情ですので今回、特集することにしました。
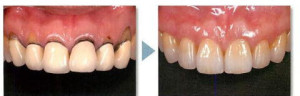
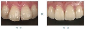
まず、オールセラミックは レジンセメントという接着剤で付けることで、強固に歯と接着することが可能となります。
しかし、噛み合わせの問題 等から破損する可能性がないわけではありません。以下は、オールセラミック治療についての成功率のデータになります。
シロナデンタ株式会社が公表している臨床研究データによると、従来法のセラミックインレー(部分的なセラミックの詰め物)の15年後の残存率は約68%とされています。
つまり、従来のセラミックインレー(部分的なセラミックの詰め物)は、15年後には約3分の1が破折、脱離等のトラブルが発生しているという結果です。
当医院で取り扱っているオールセラミックの15年後の残存率を調べた臨床研究によれば、
当院では約91%と非常に高いデータがでています。

上記のようにオールセラミックの臨床成績は、手間と時間、最高の素材を駆使してこだわって治療しており通常より非常に高いものですが、それでも100%ということはありません。
長期間による噛み合わせの変化により、オールセラミックに負担が加わり破損をきたすことがあります。
また、歯ぎしりや 食いしばり、欠損部の存在(放置) 等 さまざまな問題により破損する可能性もあります。
もし 破損したとしても内部が虫歯になっていなければ、
単にセラミックを再製するだけですので、歯にとっては最小限の負担ですみます。
しかし、金属の詰め物のように、歯と接着していない治療の場合には、
金属の詰め物が取れた時点で内部が大きく虫歯になっていることがあります。
もし、虫歯が大きく神経まで達している場合には、神経を取り除く治療が必要になり、さらに将来的なリスクも高くなります。
オールセラミックを成功に導くためのポイント
オールセラミック自体は、金属と比較すると脆い(弱い)ものです。
例えば、歯に接着していないオールセラミックを足で踏むと割れます。
銀歯は割れません。
また、接着していないオールセラミックを口腔内に入れて強く噛むと 割れる可能性もあります。
ただし、レジンセメントを使用し、歯としっかりと接着することで、非常に強い強度を得ることが可能となります。
つまり 歯とオールセラミックをくっ付ける作業(接着)が成功に重要なポイントになるのです。
治療の要点は接着とセラミックの厚みに尽きると言えます。
接着がきちんと行われないとセラミックの破損や脱離する確率が高くなります。
また セラミック治療といっても現在世界中で使用されているセラミックには多くの種類があります。
当医院で使用したいるオールセラミックは、日本の腕の良いベテランの技工士さんにのみに依頼し作製されます。
現時点では、Ivoclar 社のジルコニアや e.max という素材を使用することが多いです。
現時点では…というのは、オールセラミックの素材は、日々進化しており、
毎年のように新しい素材 や 改良された素材が開発されています。
そのため、現時点よりさらに良い材質、改良された材質があれば
当然のことながらそうした素材を使用することになります。
こうした材料の選択を適切に判断し接着をきちんとすることがオールセラミック治療を成功に導くためのポイントになります。
オールセラミック治療の他の問題点として、保険が適応されないことです。
治療費は各歯科医院により自由診療のため異なります。
当院でも治療を行っております。
費用に関しては料金表ページをご覧ください。
https://ikeda-dentalcl.com/plan/

池田歯科医院・こども歯科:https://ikeda-shikaiin.com/
〒840-0859 佐賀県佐賀市新栄西1丁目2-45
電話:0952-22-0388/0120-6789-11